



666 3rd St #280, San Rafael, CA 94901,
United States
666 3rd St #280, San Rafael, CA 94901,
United States
Marin Periodontics
Complimentary Consultation
Complimentary X-rays
Flexible Payment Plans
Complimentary Consultation
Complimentary X-rays
Flexible Payment Plans
👋 Calgary & Neighbours - Are you struggling with discomfort, missing, or cracked teeth? Discover a permanent solution with All-on-X Dental Implants. Our All-on-X dental implants, gives you a complete, natural-looking smile, that’s secure and stable.
Complimentary X-rays ($300 value)
Flexible Payment Plans (Priceless)
0% Interest Financing
Your All-On-X Implants Special offer includes: Complimentary Consultation, CBCT Scan, X-ray, Oral Exam & Flexible Payment Options.
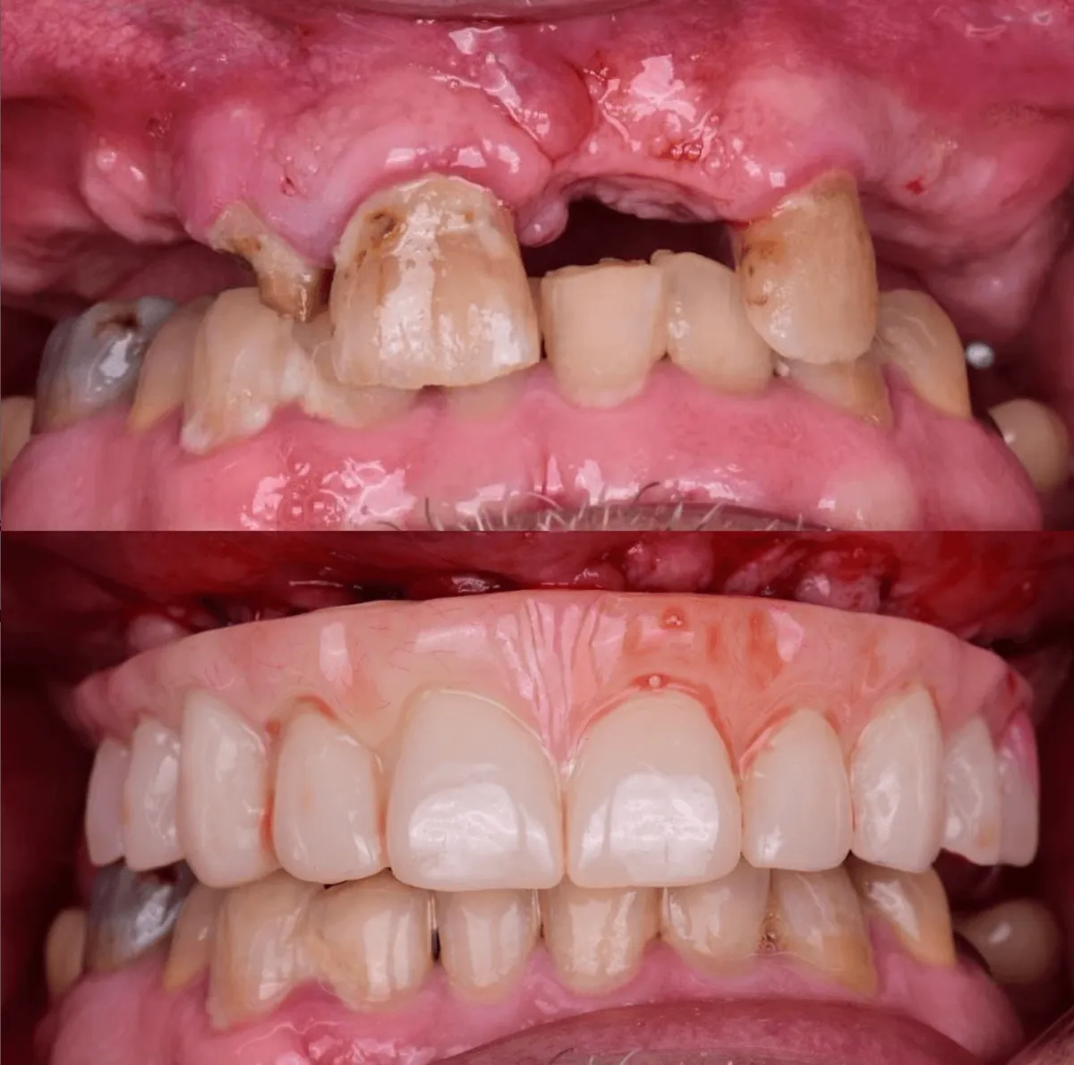
The All-on-x treatment concept offers an implant-based solution to patients who have lost all of their upper and/or lower teeth. This remarkable method of care helps patients quickly rebuild complete and beautiful smiles. With All-on-x, your new, and complete set of implant-supported replacement teeth feel secure, stable, and much like your very own.

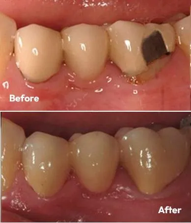
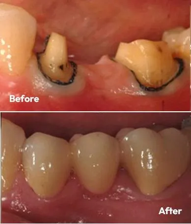
A dental implant is an artificial root made of titanium metal that serves as a substitute for the root of a missing tooth. The top of the implant is attached to an artificial tooth (crown), resulting in a beautiful natural-looking replacement tooth.

A dental implant is an artificial root made of titanium metal that serves as a substitute for the root of a missing tooth. The top of the implant is attached to an artificial tooth (crown), resulting in a beautiful natural-looking replacement tooth.

The All-On-X treatment offers an implant-based solution to patients who have lost all of their upper and/or lower teeth. This remarkable method of care helps patients quickly rebuild complete and beautiful smiles. With All-On-X, your new, and complete set of implant-supported replacement teeth feel secure, stable, and much like your very own.

The All-On-X treatment offers an implant-based solution to patients who have lost all of their upper and/or lower teeth. This remarkable method of care helps patients quickly rebuild complete and beautiful smiles. With All-On-X, your new, and complete set of implant-supported replacement teeth feel secure, stable, and much like your very own.




Restore Confidence
Replace Missing Teeth
Regain Dental Health
All inclusive
Low down payment and flexible financing

Replace Missing Teeth
Restore Appearance
Digitally designed, custom smile
All inclusive
Low down payment and no credit check
Walk Out Same-Day with New Smile
Work with the Same Team from Start to Finish
Complete the entire treatment in as little as 2 - 3 visits

Restore Confidence
Replace Missing Teeth
Regain Dental Health
All inclusive
Low down payment and flexible financing

Replace Missing Teeth
Restore Appearance
Digitally designed, custom smile
All inclusive
Low down payment and no credit check
Walk Out Same-Day with New Smile
Work with the Same Team from Start to Finish
Complete the entire treatment in as little as 2 - 3 visits

All-On-X Implants are a special way to replace missing teeth. Instead of getting one implant for each missing tooth, a few implants (usually 4 or more) are placed in your jaw to support a full set of new teeth. It's like building a strong bridge with solid support beams, making sure your new teeth are stable and won't move around.

Unlike traditional dentures that can slip and require regular adjustments, these implants stay in place and feel just like your natural teeth. This means you can laugh freely, speak clearly, and eat whatever you want without worry.

A dental implant is an artificial root made of titanium metal that serves as a substitute for the root of a missing tooth. The top of the implant is attached to an artificial tooth (crown), resulting in a beautiful natural-looking replacement tooth.

All-On-X Implants are a special way to replace missing teeth. Instead of getting one implant for each missing tooth, a few implants (usually 4 or more) are placed in your jaw to support a full set of new teeth. It's like building a strong bridge with solid support beams, making sure your new teeth are stable and won't move around.

A dental implant is an artificial root made of titanium metal that serves as a substitute for the root of a missing tooth. The top of the implant is attached to an artificial tooth (crown), resulting in a beautiful natural-looking replacement tooth.

Dentures usually are fitted with an attachment that clicks to top of implant and stay secure. No up, down or sideways movements occur providing well fitted dentures that work much more efficiently than one with dental implant.

Dentures usually are fitted with an attachment that clicks to top of implant and stay secure. No up, down or sideways movements occur providing well fitted dentures that work much more efficiently than one with dental implant.

Unlike traditional dentures that can slip and require regular adjustments, these implants stay in place and feel just like your natural teeth. This means you can laugh freely, speak clearly, and eat whatever you want without worry.








Board Certified Dental Implant Surgeon.
Dr. Javadi, a Diplomate of Periodontology and Implant Surgery, has been providing advanced periodontal care and dental implant therapy to patients and referring doctors in San Francisco Bay Area since 2002. Currently, Dr. Javadi is the President of the Marin County Dental Society. After commencement from University of Toronto with an Honor Bachelor of Science degree, Dr. Javadi completed his dental education at Case Western Reserve University in Cleveland, Ohio. His interest in periodontics and dental implantology took him to the Ohio State University where he obtained his Certificate in Periodontology and a Masters of Science degree.
Since arriving in the Bay Area in 2002, he has been practicing in Marin County and San Francisco and has become a Board Certified Periodontist by successfully passing the American Board of Periodontology examinations, and has become a Fellow of Royal College of Dentist of Canada (FRCD). He has also volunteered as clinical faculty at University of Pacific School of Dentistry and University of California - San Francisco.
Dr. Javadi's specialty training included all the advanced periodontal and dental implant treatment modalities, including various sinus grafting/elevation techniques, onlay bone block grafts, and Guided Bone Regeneration (GBR). By offering Alloderm (donor dermal graft) grafts, Dr. Javadi provides a predictable and least traumatic alternative for esthetic gingival grafting for root coverage and ridge augmentation. Dr. Javadi also employs diode laser for esthetic gingival recontouring during cosmetic periodontal procedures.
Dr. Javadi is also licensed to provide I.V. sedation to make the treatment visits more comfortable. During your consultation appointments, Dr. Javadi provides a comprehensive evaluation of your oral health and will spend the time it takes to make you comfortable with your treatment options. Our goal is to provide you with an excellent care, while making you comfortable.
Memberships: American Dental Association, American Academy Periodontology, International College of Oral Implantologist, California Society of Periodontist

Dr. Hollander is an active and current participant of the following professional associations:
American Dental Association
American Board of Periodontology
Academy of Osseointegration
California Dental Association
Marin County Dental Association
California Society of Periodontists
American Academy of Periodontology
Western Society of Periodontology
Dr. Brian Hollander is a Diplomate of the American Board of Periodontology, specializing in periodontal and surgical dental implant care in Novato since 1989.
Prior to his advanced dentistry training, Dr. Hollander completed dual Bachelor degrees in Biology and Chemistry at California State University, Northridge, and in 1982, earned a Master’s degree in Anatomy from University of California, Los Angeles (UCLA). Following this extensive academic foundation in health science, he graduated with his Doctorate of Dental Surgery from the University of California, San Francisco (UCSF) in 1987. That same year, he gained admission to UCSF Periodontal Residency, a specialty program focusing on advanced surgical interventions for treatment of periodontal disease, cosmetic tissue reshaping, and replacement of missing teeth with implant technology. In 1989, he earned his Periodontal and Implant Surgery Certification at UCSF. During his tenure at UCSF, Dr. Hollander was awarded the Outstanding Senior Performance Award from both the American Equilibration Society and the American Academy of Periodontology. He also engaged in clinical research and published findings on pain management and oral irrigation. Having served on the faculty at UCSF since 1993, he is currently a Clinical Professor. He is Region Leader for the California Society of Periodontists (CSP) and also sits on the peer review committee for the CSP.
Dr. Hollander continues to engage in advanced clinical training and licensing and remains at the forefront of his specialty. He completed his anesthesia training at UCSF and is licensed in intravenous (IV) conscious sedation and oral sedation, and serves as an evaluator for the state of California for both IV and oral conscious sedation. Dr. Hollander attends continuing education courses often in order to remain current and integrate proven successful techniques into his practice.
In his free time, Dr. Hollander loves spending time with his wife of forty years, their three daughters, and family critters. He also enjoys the outdoors and sports.









We may not be the right fit if...
❌ You're solely price shopping.
❌ You don't value the Doctor's time.
If you're a good fit,
Follow these 3 easy steps below to begin your journey:
Secure Your Spot by Clicking Below and Providing Your Details.
Secure your spot by clicking below and providing your details.
Call us, and we’ll schedule a convenient time that fits your schedule
Call us, and we’ll schedule a convenient time that fits your schedule
Please Commit to Your Chosen Appointment Time, as We Can't Reschedule Missed Appointments.
Please commit to your chosen appointment time, as we can't reschedule missed appointments.
The procedure typically takes a few hours, but it might require several visits for planning and follow-ups. Many patients can have temporary teeth placed on the same day as the surgery.
The procedure is done under anesthesia, so you won't feel pain during the surgery. After the procedure, you might feel some discomfort, but this can be managed with medication.
With proper care, All-On-X Implants can last a lifetime. Regular dental check-ups and good oral hygiene are essential for their longevity.
Most people who are missing several teeth can get implants. However, a dentist needs to evaluate your overall health and bone structure to ensure you're a good candidate.
All-On-X Implants are more stable and comfortable than dentures. They don't slip or need adhesive, and they help maintain the bone structure of your jaw, keeping your face looking natural.
© 2025 by Marin Periodontics
Privacy Policy | Terms Conditions
This site is not a part of the Facebook website or Facebook Inc. Additionally, This site is NOT endorsed by Facebook in any way. FACEBOOK is a trademark of FACEBOOK, Inc.